Professor Małgorzata Wierzbicka (Wrocław)
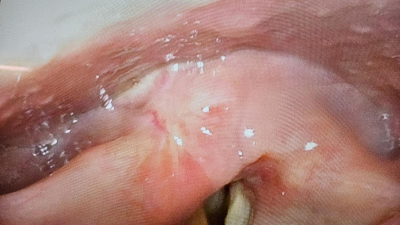
Abrikossoff tumor in postcricoid region
Preoperative image
2 days after surgery
Prof. A.Giovanni, dr A.Mattei (Marseille)
Left unilateral vocal fold paralysis treated by a hyaluronic acid injection under local anesthesia
The VHI-30 of the patient improved (94 preoperatively v/s 36 postoperatively). Her MPT improved as well from 10 to 18 sec.












